Cystic Nephroma

Figure A. Gross section

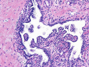
Figure B. H&E x20

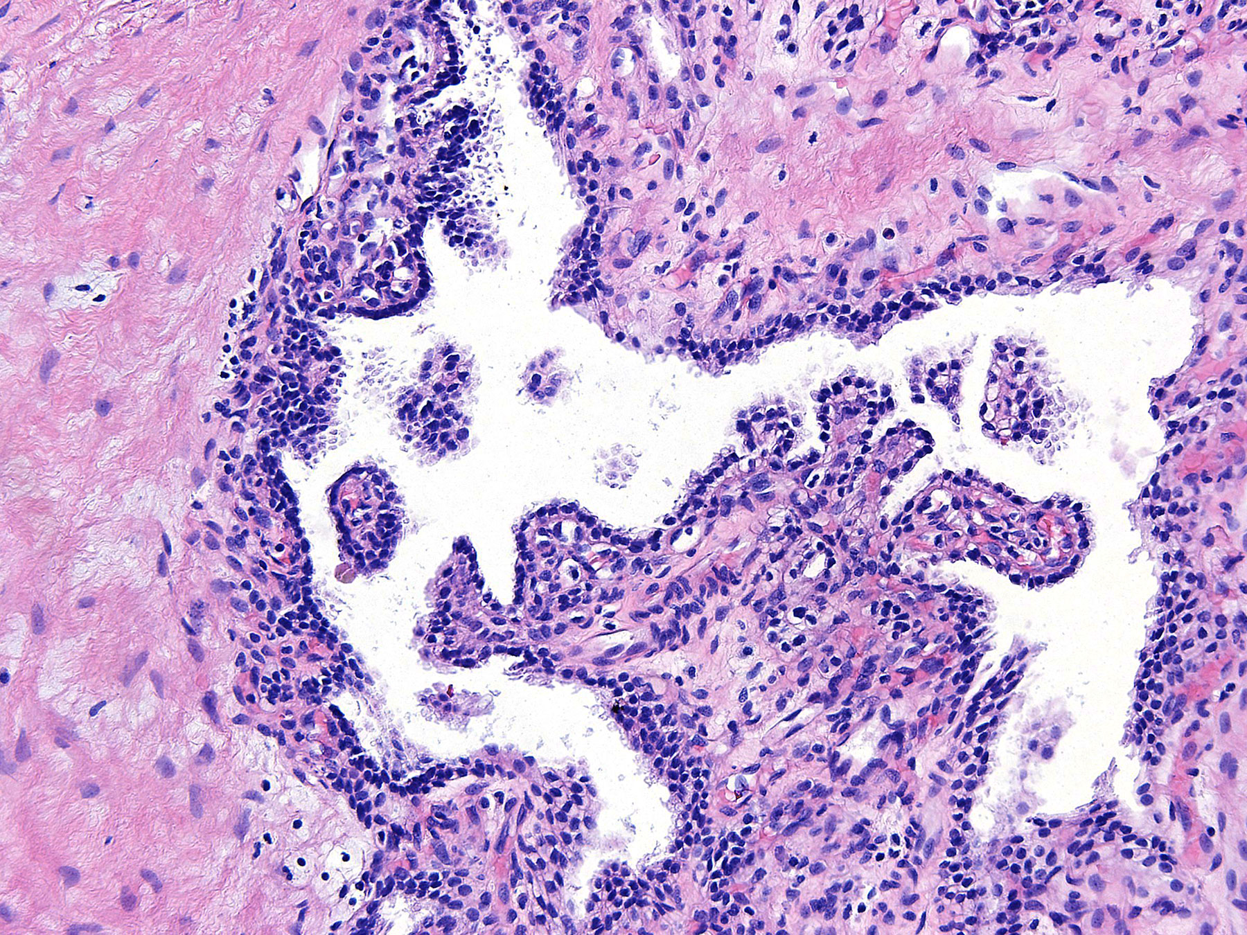
Figure C. H&E x20

 

 

 

   

 

Clinical History: 34 year old male with persistent history of hematuria for 6 months. Work-up included urine cytology, which showed no malignant cells. CT and MRI showed a 5.5 cm R-lower pole complex renal cyst with nodularity and thickening.

Gross section: Cut section of the renal mass reveals a 5.8 x 5.7 x 5.4 cm rounded, encapsulated yellow-white, cystic multilocular mass filled with serous and colloid fluid

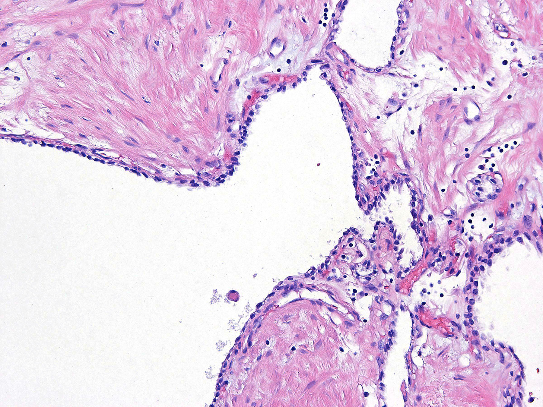
Histology: The sections show several cystic structures lined by single layers of flattened and cuboidal cells separated by fibrous septa.


(Last Edition: January 23, 2026 )